Três mapeamentos divulgados revelam as estruturas e as conexões celulares em um nível de detalhamento inédito. A ideia é compreender melhor os mecanismos de formação de doenças
O corpo humano é formado por 37,2 trilhões de células altamente especializadas — as proteínas de um neurônio, por exemplo, são diferentes das que compõem a hemoglobina. Conhecer o funcionamento de cada tipo celular ajudará cientistas a entender melhor as diferenças entre uma estrutura saudável de uma doente e, assim, avançar na compreensão das muitas enfermidades que afetam o organismo. Um avanço nesse sentido foi divulgado nesta quarta-feira (19/7), na revista Nature. Equipes de diversas instituições de pesquisa publicaram três mapas moleculares de tecidos intestinais, placentários e renais em um nível de detalhamento sem precedentes.
Os mapas, que demonstram tipos, quantidade e outras nuances celulares, são os primeiros de uma coleção que, entre outras coisas, pretende estabelecer uma linha de base comparativa. Entre as respostas que sairão do projeto estão onde as células se reúnem em cada tipo de tecido, como se desenvolvem na gestação e de que forma as interações entre elas definem e conduzem a biologia humana.
Os três estudos publicados ontem fazem parte do Programa Atlas Biomolecular Humano (HuBMAP), financiado pelos Institutos Nacionais de Saúde dos Estados Unidos. Cientistas norte-americanos e europeus integram o projeto. “Na pesquisa, temos o hábito de estudar coisas que são anormais sem realmente entender como é o normal”, disse, em uma coletiva de imprensa on-line, Michael Angelo, professor da Universidade de Stanford e copresidente do comitê de direção do HuBMAP. “Isso criou uma grande lacuna em nosso conhecimento. O HuBMAP é o único esforço que se concentra sistematicamente na arquitetura espacial desses tecidos”.
Conexões
Ao combinar técnicas de imagem celular, aprendizado de máquina e outros métodos de análises moleculares, as equipes estão criando um recurso abrangente para os pesquisadores entenderem melhor todos os tecidos humanos, explicou Angelo. Os dados coletados durante o projeto estarão disponíveis publicamente no site do HuBMAP. O objetivo é permitir que os pesquisadores estudem características específicas do tecido, compreendam os mecanismos das doenças e desenvolvam ferramentas de anotação automatizadas que identifiquem e caracterizem as células.
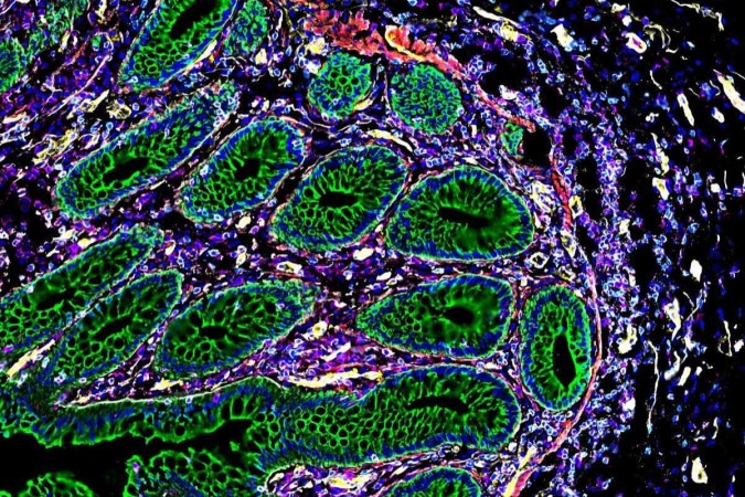
Michael Snyder, professor de genética de Stanford e ex-copresidente do HuBMAP, contou que os novos mapas revelaram “conexões clínicas interessantes”. A equipe de Snyder se concentrou no intestino para desvendar as principais características desse tecido. “As células do intestino se reúnem em ‘vizinhanças’, compostas por diferentes quantidades de tipos de células com funções específicas”, contou o geneticista na coletiva.
Para mapear o intestino, os cientistas examinaram oito regiões do intestino delgado e grosso de nove doadores já falecidos. Usando uma tecnologia chamada co-detecção por indexação, ou codex, que consiste na coloração e lavagem do tecido repetidamente com anticorpos fluorescentes, eles identificaram 20 “bairros” celulares distintos com base na abundância relativa de cada célula. A análise molecular adicional de RNA e material cromossômico de algumas das amostras forneceu um nível ainda maior de detalhamento.
O mapeamento até o nível de células individuais levou os pesquisadores a descobrir, entre outras coisas, que os doadores de tecido com maior índice de massa corporal tinham um número muito mais elevado de macrófagos M1, um tipo de célula imune associada à inflamação. Já os doadores com histórico de hipertensão contavam com menos estruturas imunológicas de um tipo diferente, chamadas T CD8, que desempenham um papel na busca e destruição de possíveis células cancerígenas.
“Nossos mapas pretendem ser uma referência para um intestino saudável, com o qual podemos comparar tudo, desde a doença do intestino irritável até o câncer de cólon em estágio inicial”, disse Snyder. “Isso será fundamental para nossa compreensão de todos os tipos de doenças digestivas.”
Placenta
A equipe de Michael Angelo estudou a placenta e se concentrou no processo de remodelação do tecido materno-fetal. “No início da gravidez, algo estranho acontece no útero: células do lado fetal da placenta em desenvolvimento invadem o endométrio uterino e trabalham com o sistema imunológico da mãe para remodelar as artérias. Quando li pela primeira vez sobre isso, pensei: ‘isso é tão bizarro'”, recordou o patologista.
O sistema imunológico dos humanos geralmente ataca células desconhecidas, o que teoricamente representaria um problema para uma gravidez em desenvolvimento. Mas, na placenta do lado materno, as artérias incorporam estruturas que combinam geneticamente com o embrião para formar o órgão temporário (a placenta). “Não há nada como isso na biologia humana”, disse Angelo.
No artigo publicado na Nature, a equipe de Angelo dá a descrição mais detalhada até agora de como as células maternas e fetais geneticamente incompatíveis cooperam para reestruturar as artérias uterinas. “Conhecer os detalhes do desenvolvimento perfeito da placenta pode ajudar os cientistas a entender o que há de errado nas complicações da gravidez, como a placenta acreta, um órgão excessivamente invasivo, que se entrelaça profundamente no útero e pode causar hemorragia no nascimento”, explicou o patologista. O mapeamento também poderá explicar a pré-eclâmpsia (pressão arterial perigosamente alta no fim da gestação e abortos espontâneos.
Para estudar o processo de formação da placenta, os cientistas usaram método desenvolvido por eles, chamado imagem de feixe de íons multiplexado por tempo de voo, que marca várias células e proteínas distintas simultaneamente em tecidos. Foram usadas amostras de 66 pacientes que sofreram abortos espontâneos entre a 6ª e a 20ª semana.
Mapa dos rins contribui para entender a doença crônica
Estima-se que 10% da população mundial sofra de algum tipo de doença renal. Enquanto algumas pessoas se recuperam de danos nesse órgão vital, outras passam a sofrer cronicamente com o problema. Segundo pesquisadores da Universidade da Califórnia em San Diego, o mapeamento detalhado dos rins pode esclarecer o que contribui, na escala individual celular, para os prognósticos distintos.
Como parte do Programa Atlas Biomolecular Humano (HuBMAP), os cientistas construíram o maior atlas unicelular do rim humano até o momento, com dados sobre células sadias e doentes de mais de 90 pessoas. Segundo eles, o mapeamento, divulgado ontem na revista Nature, servirá de base para compreender melhor a progressão da doença renal depois de uma lesão aguda no órgão.
“Queremos entender essa progressão no nível de célula única”, disse o co-primeiro autor do estudo, Blue Lake, em uma coletiva de imprensa on-line. “Ao construir um atlas dos diferentes tipos de células que compõem um rim saudável, bem como rins feridos e doentes, podemos ter uma ideia de quais mudanças estão acontecendo que causam a reparação de alguns tipos de células danificadas e, em alguns casos, a transição para um estado que não pode mais ser reparado.”
Tipos
Para o mapeamento, os pesquisadores analisaram mais de 400 mil células e núcleos de uma diversa amostra. Com a tecnologia de sequenciamento de célula única, eles identificaram 51 populações celulares diferentes. O atlas mostra onde cada tipo está disposto no rim.
Os pesquisadores também descobriram que 28 desses tipos de células são alterados na lesão renal aguda. “O que normalmente acontece quando as células renais são lesionadas é que elas entram em um estado de reparo no qual fazem novas cópias de si mesmas, além de liberar sinais que recrutam células imunes e fibroblastos para curar a área lesionada. Depois, eles retornam ao seu estado celular normal”, contou Lake.
Mas com os tipos celulares alterados, o retorno ao estado normal não acontece. Em vez disso, eles ficam presos no estado de reparo, continuando a recrutar mais células imunes e fibroblastos. “O processo leva à inflamação e à fibrose, o que, por sua vez, conduz à progressão da doença e à redução irreversível das funções renais”, disse o cientista.
O primeiro mapeamento já ajudou os cientistas a pensar em estratégias que retirem as células do estado de reparo, evitando, assim, a doença. Segundo Lake, o atlas crescerá no futuro, com a inclusão de amostras de uma população ainda mais diversificada. (Paloma Oliveto).
Fonte: Correio Braziliense
Foto: Divulgação

